• Tel: 858.663.9055
  • SeparatorEmail: info@nsjbio.com
  • Tel: 858.663.9055
  • Email: info@nsjbio.com
Home >> Antibodies >> CAPZB Antibody [beta 2 form specific]

CAPZB Antibody [beta 2 form specific] (R34781)

  Catalog No Formulation Size Price (USD)  
Image R34781-100UG 0.5 mg/ml in 1X TBS, pH7.3, with 0.5% BSA (US sourced) and 0.02% sodium azide 100 ug 449
Bulk quote request
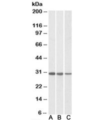
Western blot of human Jurkat (A), HeLa (B) and mouse NIH3T3 (C) lysates with CAPZB antibody at 0.01ug/ml. Predicted molecular weight: ~30kDa.
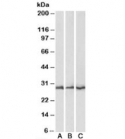
Western blot testing of mouse [A], rat [B] and pig [C] heart lysates with CAPZB antibody at 0.1ug/ml. Predicted molecular weight: ~30kDa.
Availability 1-3 business days
Species Reactivity Human, Mouse, Rat, Pig
Predicted Reactivity Cow, Dog
Format Antigen affinity purified
Clonality Polyclonal (goat origin)
Isotype Goat Ig
Purity Antigen affinity
Gene ID 832
Applications Western Blot : 0.5-2ug/ml
ELISA (peptide) LOD : 1:32000
Limitations This CAPZB antibody is available for research use only.
Review this product on BioCompare and get a $20 Amazon gift card

Description

Additional name(s) for this target protein: Capping protein (actin filament) muscle Z-line, beta; CAPZB

Application Notes

Optimal dilution of the CAPZB antibody should be determined by the researcher.

1. This CAPZB antibody is specific for the beta 2 form found in non-muscle cells. It will not detect the beta 1 form.

Immunogen

Amino acids NDLVEALKRKQQC were used as the immunogen for this CAPZB antibody. (1)

Storage

Aliquot and store the CAPZB antibody at -20oC.

Cross
Bulk Quote Request Form
Name*:
Organization*:
Email*:
Phone Number*:
Catalog No.*:
Comments and Specifics(amount, formulation, etc.)*:
Validation code: Captchapackage Image


Can't read the image? click here to refresh.
    *required field

Your bulk quote request has been submitted successfully!

Please contact us if you have any questions.